Egészségügy
A magyar egészségügy rejtélye: hova tűntek a betegek?
Nem csak a magánegészségügyből, hanem az állami ellátásból is eltűnt a betegek egy része.
Beleszállt az államtitkár a magánegészségügybe, de bírná-e az állam saját maga az ellátást?
Takács Péter nem osztja azt a vélekedést, miszerint a magánegészségügy könnyítene a várólistákat görgető állami ellátás helyzetén.
Hétvégente nem lesz sebészeti fekvőbeteg-ellátás az orosházi kórházban
Péntek délután akit lehet, hazaküldenek, a többieket pedig másik kórházba viszik.
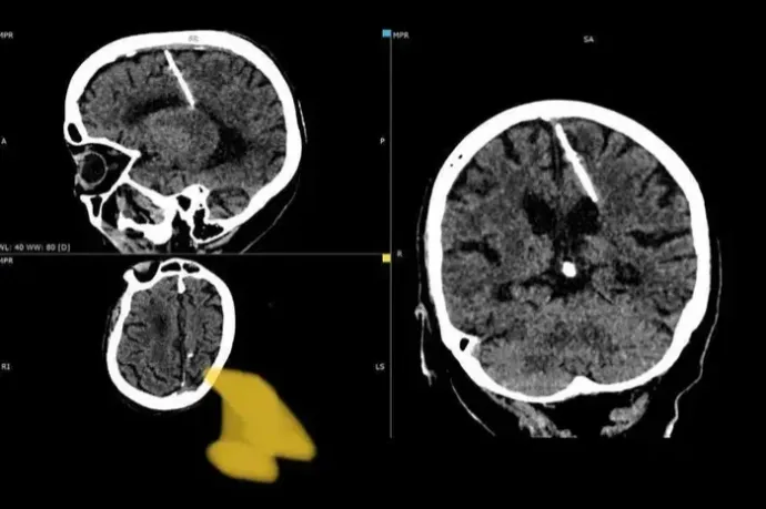
Születése óta egy három centiméteres tűvel az agyában él egy nyolcvanéves nő Oroszországban
Az orvosok szerint a szülők az éhínség alatt a tűvel próbálták megölni a magzatot, de nem sikerült.
A brit kormány egy törvénnyel teljesen visszaszorítaná a dohányzást
A tervezet szerint a 2009 után születettek soha nem vehetnének legálisan cigarettát.
Vadkapitalista és kommunista egészségügy együttélése mindenki számára vesztes helyzetet teremt
Az elmúlt pár év egészségpolitikai intézkedései nyomán a magasabb fizetések mellett a szolgáltatások színvonala nem lett jobb, a közhangulat javulása se érződik, és az ellátottak száma sem nőtt.
Tévedésből vették ki a fél tüdejét, most mobil-oxigénpalackra sem jogosult a bohócdoktor
A CT-t végző orvos ellen feljelentést tett, de az néhány hónappal később meghalt.
Két gyermekorvos is felmondott Sárváron
Egy doktornő pedig nyugdíjba megy január végén. Az egyik praxist sikerült betölteni.
Rekordszintre nőhetett a kórházak adóssága
Százmilliárd körül lehet az összeg. A kérdés csak az, hogy alatta vagy fölötte.
A következő 5 évben még három centrumot kell nyitni Kelet-Magyarországon a meddőségi szektor...
Vesztergom Dóra szerint évi 2400-ról 4500-ra is emelkedhetne a lombikbébik száma.








