Nagy Nikoletta
Sikeres klímakonferencia helyett politikai sakkjátszma volt az idei COP
Az államoknak azt sikerült megmutatniuk, hogy tudnak együttműködni, de nem születtek olyan megállapodások, amik hatékonyan segíthetnék a klímaváltozás elleni harcot.
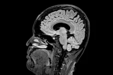
Korszakai vannak az agyunknak, és a felnőttkort 30 év alatt el sem éri
Egy friss kutatás szerint az agyi fejlődés öt különböző érába sorolható, és mindegyikben más változások a legjellemzőbbek.
Új vezetője van a sokat kritizált, egyedi gyógyszerkérelmeket elbíráló Batthyány-Strattmann László...
A döcögősen és korántsem átláthatóan működő alapítványból távozott egy kuratóriumi tag is.
Tudományos MI-szuperplatformot hoz létre az USA, ami a nukleáris fegyverek fejlesztésében is segít...
A Genezis misszió a valaha épített legösszetettebb és legerősebb tudományos eszköz lesz, legalábbis az amerikai energiaügyi minisztérium szerint.
2,5 millió kóbor macskát irtana ki Új-Zéland
Az ország természetvédelmi minisztere szerint az állatok fontos fajokat pusztítanak el, és csökkentik a biodiverzitást.
A hazai kutatók nagyjából fele gondolkozott már a pályaelhagyáson, vannak olyan fiatal tudósok,...
Egy friss, reprezentatív felmérés szerint a magyarországi kutatók jelentős része túlterhelt, alulfizetett és bizonytalan körülmények között dolgozik, a fiatalabb generáció mentális állapota...
Orrcseppel bejuttatható terápia tüntette el a legagresszívabb agydaganatot egereknél
A kutatás során nanorészecskéket juttatnak el az agyig, az ezekkel bejuttatott gyógyszerek pedig a megfelelő helyen fejtik ki a hatásukat.
Helyi orvosok szerint a gázai kórházakban rohamosan fogynak az alapvető készletek
A géz, az antiszeptikumok, a hőmérők és az antibiotikumok is hiánycikk lesz hamarosan, ha nem kapnak új segélycsomagokat.
Nem adják ki a csádi katonai misszió szerződéseit, mert a bíróság tartalmi vizsgálat nélkül...
A külügyminiszter szerint külügyi érdekeket sértene az adatok nyilvánosságra hozása, de a bíróság nem vizsgálta azt, hogy ez valóban így is van-e.
Németországban fegyvernek minősítenék a randidrogokat
Ez megteremti majd az alapot a szigorúbb büntetőeljárásokhoz.









